Monday - Saturday, 10 am to 1 pm & 6pm to 9 pm
Contact us now at +91 99200 54253

Oral Surgery

The clinic is well equipped to carry out all oral surgical procedures.

Detailed medical and dental records are taken prior to the procedure.

Details of the surgery are discussed prior in order to make the patient comfortable before the surgery. Detail attention is given to fumigation and sterlization of all the instruments used for the procedure.

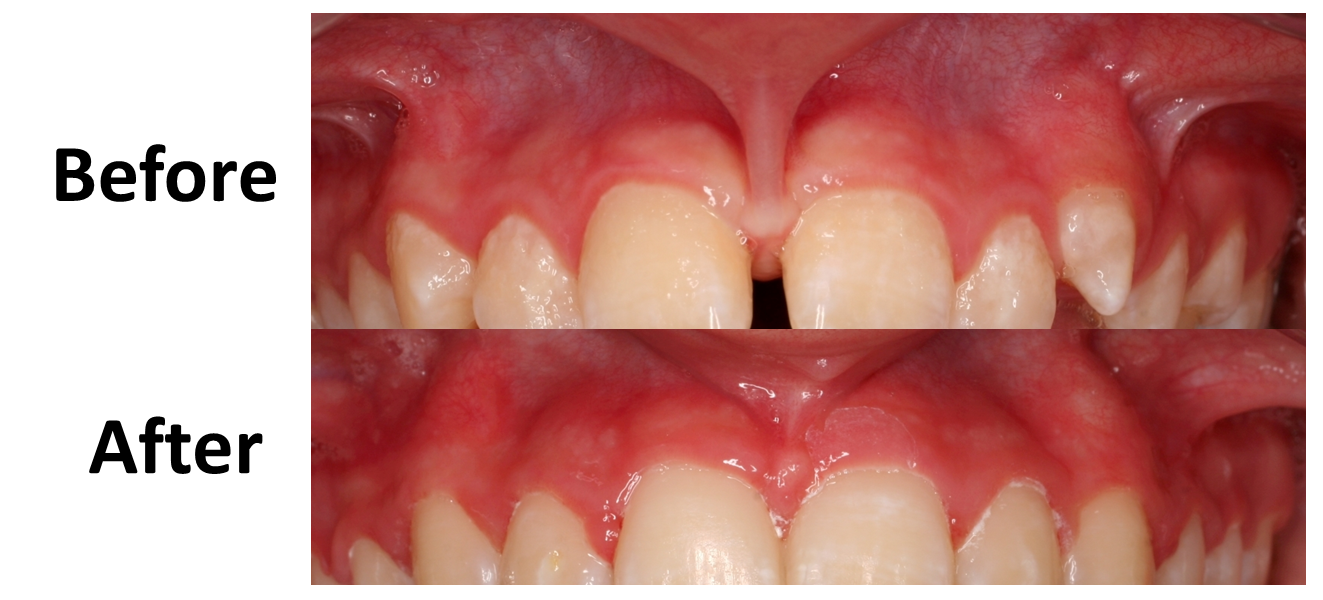
Oral surgeries such as

i. Conventional tooth extraction.

ii. Removal of impacted teeth.

iii. Frenectomy.

iv. Biopsy of oral tissues.

v. Removal of cyst of dental origin.

vi. Management of oral ulcers.