Crowns

Fig : PFM crown.

Fig : Ceramic Crown.
Crown is an artificial structure which is put over the tooth in case of extensive tooth decay or fracture. It is also put after root canal treatment to strengthen the tooth.
Our clinic offers wide range of materials for crowns. i. Metal crown.

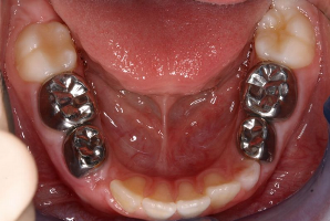
Bridges

Fig : Metal Bridge.

Fig : PFM Bridge.

Fig : Ceramic Crown & Bridge
Bridge is the most common and easiest method to replace one or more missing teeth.
A bridge is comprised of two crowns for the teeth on either side of the gap and a false tooth (or teeth) in between. The resulting dental bridge is supported by natural teeth or implants. Similar to crown, bridge can also be made of metal, PFM, or full ceramic.

Fig : Bridges
Clicnic Images
Fig : Final Bridge after cementation
Fig : Bridges