Fillings
Composite ( light cured or tooth colored )fillings which are latest are used instead of traditional silver fillings to give a more natural and aesthetic look.
i. Tooth decay.

Fig :Fillings for tooth decay.
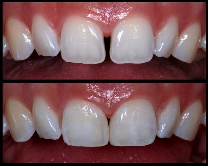
ii. To correct diastema or gap between teeth .

Fig :Diastema Filling.
iii. Smile designing.

Fig : Repair of chipped teeth.