Orthodontic Treatment

Fig : Ceramic braces.

Fig : Metal braces.
It involves use of braces to correct mal-aligned, mal-positioned teeth with respect to the jaw.
It is the most common and comprehensive treatment to correct crooked smile , gaps and crowding of teeth and proclination of teeth to give aesthetic and pleasant smile.
It can be carried out in youngsters as well as adults.
We provide options of different type of braces such as metal, ceramic, lingual ( invisible) to suit your needs.
Also orthodontic appliances such as habit breaking appliance, myo-functional appliance are provided based on need of the case.

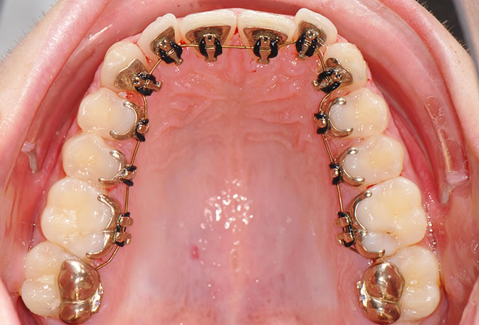
Fig : Lingual braces.