Monday - Saturday, 9 am to 1 pm & 5 pm to 9 pm
Contact us now at +91 99200 54253

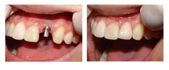
Dental Implants

Dental implants are artificial tooth roots used to support a restoration for a missing tooth or teeth, helping to stop or prevent jaw bone loss.

By replacing missing tooth roots, dental implants provide people with the strength and stability required to eat all the foods they love, without struggling to chew.

Detailed medical and dental history is taken for treatment planning also photographs, radiographs and CBCT ( 3D imaging to check the depth and quality of bone ) is done in order to plan the procedure and the type of implant best suited for the case.